Artikel

Kardiale Amyloidose – erkennen und behandeln

Hinter unklaren Herzbeschwerden können Ablagerungen von fehlgefalteten Proteinen stecken, die die Arbeit des Herzens behindern. Lesen Sie mehr.

Patient fasst sich mit Brustschmerzen ans Herz
istock

Amyloidosen sind eine Gruppe verschiedener Erkrankungen, bei denen sich fehlerhafte Eiweiße (Proteine) in Organen ablagern. Gemeinsam ist ihnen, dass es sich um sogenannte Proteinfehlfaltungskrankheiten handelt. Und fehlgefaltete Proteine neigen dazu, zu verklumpen und an unterschiedlichen Stellen abzulagern. Das kann im gesamten Körper oder in bestimmten Organen passieren. Was hat das für Folgen?

Was ist die kardiale Amyloidose?

Eiweiße (Proteine) sind lebensnotwendige Ketten aus meist hunderten Aminosäuren. Unser Körper bildet ständig Eiweiße, z.B. Hormone, Enzyme, Zellmembranrezeptoren oder die für die Immunabwehr wichtigen Antikörper. Eiweiße können aber ihre jeweilige Funktion nur erfüllen, wenn sie in sehr spezifischer Weise im dreidimensionalen Raum gefaltet sind. Faltungsfehler können wiederum dazu führen, dass sich unlösliche Eiweißklumpen und -fäden bilden. Diese Eiweiße sind dann funktionslos und lagern sich dauerhaft in inneren Organen ab, darunter auch im Herzen. Ist (überwiegend) das Herz betroffen, wird von kardialer Amyloidose gesprochen. Die charakteristischen Eiweißstrukturen bezeichnet man als Amyloid.

Grafik zeigt, wie sich der Herzmuskel bei der kardialen Amyloidose versteift

Diese Amyloidablagerungen verdicken und versteifen unter anderem die Herzwand oder die Trennwand zwischen den Herzvorhöfen und sie schädigen das elektrische Leitungssystem im Herzen. Die Folgen sind Herzschwäche (Herzinsuffizienz) oder Herzrhythmusstörungen.

Zwei häufige Amyloidose-Formen

Da es viele verschiedene Eiweiße gibt, gibt es auch verschiedene Amyloidosen. Das macht die Behandlung oft schwer. Denn nur, wenn Ärzte bei der Diagnostik herausfinden, um welche Amyloidose es sich konkret handelt, ist es möglich, die geeignete Therapie auszuwählen. 

Die beiden häufigsten Amyloidoseformen mit Herzbeteiligung sind die Leichtketten-Amyloidose (AL-Amyloidose) und die Wildtyp-ATTR-Amyloidose (A=Amyloid; TTR=Transthyretin; L=Leichtkette). Seltener wird die vererbbare ATTR-Amyloidose festgestellt. 

AL-Amyloidose (A=Amyloid; L=Leichtkette). Unter „Leichtketten“ werden spezielle Eiweiße verstanden, die für den „Zusammenbau“ der oben erwähnten Antikörper zur Immunabwehr wichtig sind. Fehlgefaltete Leichtketten sind unlösliche Eiweißfäden, die sich vor allem in Herz und Nieren ablagern. 

Wildtyp-ATTR-Amyloidose: (A=Amyloid; TTR=Transthyretin). Transthyretin (TTR) ist ein wichtiges Transporteiweiß, das zum Beispiel Schilddrüsenhormone im Blut transportiert. Ist das TTR fehlgefaltet, kann es seine Funktion nicht mehr erfüllen und lagert sich in Organen ab. Mit dem Begriff „Wildtyp“ werden Zustandsformen eines Genoms (genetischer Bauplan des Körpers) verstanden, wie sie in der Natur am häufigsten vorkommen – eine spontane genetische Veränderung (Mutation) kann dann zur Produktion des fehlerhaften Eiweißes führen. 

Wird Amyloidose vererbt?

Nur einige, nicht alle Amyloidose-Formen werden vererbt. Bei der erblichen ATTR-Amyloidose liegen Mutationen im Transthyretin (TTR)-Gen vor, das sich auf Chromosom 18 befindet. Die Vererbung erfolgt autosomal-dominant, das heißt, für die Vererbung muss nur eines der beiden Allele des TTR-Gens mutiert sein. Der Mensch besitzt immer einen doppelte Chromosomensatz und damit zwei Allele=Genvarianten auf einem Chromosom. 

Wenn ein Elternteil die Mutation besitzt, besteht eine 50-prozentige Wahrscheinlichkeit, dass das Kind die Mutation erbt. Männer und Frauen sind gleichermaßen betroffen. Allerdings entwickelt nicht jeder Träger der Mutation zwangsläufig Symptome der Amyloidose. 

Wie macht sich eine Amyloidose bemerkbar?

Die Symptome einer Amyloidose hängen davon ab, welches Organ oder welche Organe von den Amyloidablagerungen betroffen sind. Bei kardialer Amyloidose sind Kurzatmigkeit bei Belastung und Wassereinlagerungen in den Beinen (Ödeme) Zeichen der verursachten Herzschwäche. Da allerdings die Amyloidose eine eher seltene Ursache der Herzschwäche (Herzinsuffizienz) ist, vermuten Ärzte bei Betroffenen zunächst andere häufige Ursachen für die Beschwerden.

MERKE: 

Wenn ein Herzschwäche-Patient nicht oder unzureichend auf seine Herzschwächemedikamente anspricht, ist das ein wichtiger Verdachtsmoment. Die Suche nach einer anderen Ursache, also auch einer womöglich vorliegenden Amyloidose, sollte dann fortgesetzt werden.

Weil die Eiweißablagerungen bei Amyloidose auch Nervenbahnen schädigen können – sowohl im Herzen als auch im gesamten Körper – sind weitere Indizien:

  • Herzrhythmusstörungen
  • Orthostase-Störungen (starker Blutdruckabfall und gegebenenfalls Ohnmacht bei Positionswechsel vom Liegen zum Stehen)
  • ein beidseitiges Karpaltunnelsyndrom (schmerzhafte Einengung des Mittelarmnervs am Handgelenk)
  • Gewichtsverlust unklarer Ursache 
  • Hauteinblutungen
  • eine rasch voranschreitende Polyneuropathie („Ameisenkribbeln“, Schmerzen und Taubheit v.a. in den Beinen/Füßen)
  • eine ungewöhnlich große Zunge (Makroglossie)

Manchmal waren Betroffene wegen Muskelschwäche, Gehstörungen und Stürzen bereits in neurologischer Behandlung, wegen chronischer Heiserkeit beim HNO-Spezialisten oder wegen Blut im Urin in urologischer Betreuung. Und weil Amyloidosen häufig mehr als nur ein Organ betreffen, also z.B. auch Nieren, Magen-Darm-Trakt, Leber, Milz, Augen, Gehirn, kann eine Kombination von Symptomen und Befunden aus mehreren Organen ebenfalls auf diese gemeinsame Ursache hindeuten. 

Die sehr heterogene Symptomatik an ganz verschiedenen Stellen erschwert oft eine frühzeitige Diagnose. Denn vor allem ältere Menschen sind auch ohne Vorhandensein einer Amyloidose oft an mehreren Organsystemen erkrankt. 

Wie ist die Prognose?

Wie schnell eine Amyloidose voranschreitet, hängt letztlich vom Amyloidose-Typ und vom Diagnosezeitpunkt ab sowie davon, wie schwer insbesondere das Herz betroffen ist. Das Alter und das Vorhandensein weiterer Erkrankungen beeinflussen ebenfalls die Prognose. Angesichts der Seltenheit von Amyloidose-Erkrankungen und der individuellen Variabilität kann nur schwer eine generelle Aussage zur Prognose und zur Lebenserwartung getroffen werden. In einer Langzeitstudie mit dem Wirkstoff Tafamidis bei ATTR-Amyloidose konnte, insbesondere bei frühem Behandlungsbeginn, eine statistisch signifikant verlängerte Überlebenszeit nachgewiesen werden.

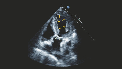
Zweidimensionale Echokardiographie in der Diastole (wenn die Herzkammer entspannt ist).
© Udo Sechtem (Zweidimensionale Echokardiographie) Patient mit kardialer ATTR-Amyloidose: Die gelben Pfeile zeigen auf den rundum verdickten Muskel der li. Herzkammer; Aortenklappe (hellgrüne Pfeile) ist verdickt.

Wie wird eine kardiale Amyloidose festgestellt?

Herzbeschwerden sind das Spezialgebiet von Kardiologen und Kardiologinnen. Sie messen bestimmte Blutwerte, schreiben ein Elektrokardiogramm (EKG) und machen eine Ultraschalluntersuchung des Herzens (Echokardiografie). Allerdings ergeben sich daraus nicht immer die typischen Zeichen der Amyloidose. Unter Umständen ist die Zusammenarbeit mit Spezialisten für Seltene Erkrankungen, Humangenetikerinnen und weiteren Fachdisziplinen erforderlich.

Weitere wichtige Diagnoseverfahren

  • Magnetresonanztomografie des Herzens infrage (kardiale MRT): macht verdickte Herzwände und Proteinablagerungen sichtbar
  • Knochenmarkspunktion:  hilft bei der Suche nach charakteristischen Eiweißen in bestimmten Blutvorläuferzellen
  • Szintigrafie: mit Hilfe radioaktiver Marker lässt sich damit nach der Verteilung der Eiweißablagerungen im Körper schauen
  • Gewebeproben aus befallenen Organen (Gewebebiopsie)

MERKE:

Speziell am Herzen gehört die Herzmuskelbiopsie zur Standarddiagnostik: Die entnommenen Gewebeproben werden mit dem Farbstoff Kongorot angefärbt. Auf diese Weise werden Amyloidablagerungen unter dem Mikroskop sichtbar gemacht. 

Welche Laborwerte sind erhöht? 

Die Blutwerte NT-proBNP und Troponin zeigen eine Herzschwäche und eine Herzmuskelschädigung an. Diese Werte sind aber auch bei anderen Ursachen einer Herzschädigung erhöht, mit anderen Worten: sie sind nicht spezifisch für die kardiale Amyloidose, sondern nur einer von mehreren diagnostischen Puzzlesteinen. 

Im Blutserum und im Urin lassen sich zudem spezielle Eiweiße nachweisen durch eine sogenannte Protein-Elektrophorese. Das ist ein Verfahren zum Auftrennen (nach Größe und elektrischer Ladung) und Mengenbestimmung der Proteine zum Beispiel im Blutserum. Bei jeder Amyloidose muss dieser Test durchgeführt werden.

Wie wird bei Amyloidose behandelt?

Die Therapie hängt davon ab, um welche Form der Amyloidose es sich handelt und welche Organsysteme betroffen sind. Einerseits werden, soweit möglich, die Organ-bezogenen Symptome behandelt. Bei kardialer Amyloidose sind das also die Symptome der Herzschwäche oder Herzrhythmusstörungen.

Bei der sehr seltenen Entzündungsamyloidose (AA-Amyloidose) auf dem Boden einer chronisch-entzündlichen Erkrankung z.B. des Darms oder Knochenskeletts werden die chronischen Entzündungen im Körper eingedämmt, z.B. mit sogenannten Biologika. Das sind Medikamente, die aus biologischen Substanzen wie Antikörpern hergestellt werden.

Bei AL-Amyloidosen werden verschiedene Chemotherapien eingesetzt. Mit ihnen sollen jene Zellen zerstört werden, die die fehlgefalteten Eiweiße produzieren.

Für Patienten mit ATTR-Amyloidose und Herzbeteiligung wurde im Jahr 2020 ein erstes Medikament mit dem Wirkstoff Tafamidis zugelassen, das die Ablagerungen mit dem krankmachenden Eiweiß TTR bremst und das Fortschreiten der Herzmuskelschäden verlangsamt. Inzwischen ist ein zweiter Wirkstoff als Transthyretin-Stabilisator zugelassen - Acoramidis. Auch damit wird die Sterblichkeit deutlich reduziert und lässt sich die Lebensqualität der Erkrankten bessern. Hinzu kommen mehrere Substanzen, die in die Klasse sogenannter Gene-Silencing-Therapien (gezielte „Stilllegung“ der Genfunktion) fallen. Diese Substanzen greifen in den Produktionsprozess des krankmachenden TTR ein, um dessen Produktion in der Leber zu vermindern. Hier wurde für die Behandlung von kardialer Amyloidose der Wirkstoff Vutrisiran zugelassen. Auch bei dieser Medikamentengruppe, die per Injektion appliziert wird, handelt es sich um hochwirksame Therapien mit Verbesserung von Überleben und Lebensqualität. 

Klinisch geprüft werden außerdem gentherapeutische Ansätze. Diese haben das Ziel, das fehlerhafte Gen direkt zu inaktivieren. Eine aktuell laufende Studie wurde aufgrund möglicher Leberschäden zwischenzeitlich pausiert und es ist abzuwarten, wie die weitere klinische Prüfung in modifizierter Form weiterlaufen wird.

Ist Grüner Tee bei Amyloidose geeignet?

Grüner Tee enthält Polyphenole, speziell Epigallocatechingallat (EGCG). Im Labor konnte mit EGCG die Fadenbildung von Amyloid-Eiweißen gehemmt werden (ATTR- und AL-Amyloidose). Studiendaten beim Menschen liegen allerdings nur sehr begrenzt vor. Ein normaler Konsum von Grünem Tee dürfte auch kaum therapeutisch wirksam sein und hohe Dosen EGCG sind potenziell leberschädigend. Nach derzeitigem Wissen kann Grüner Tee – in normalem Umfang genossen – als Teil einer gesunden Ernährung getrunken werden. Als alleinige medizinische Therapie ist Grüner Tee ungeeignet. 

Herzstiftung macht sich stark für die Amyloidose-Forschung

Die Deutsche Herzstiftung fördert verschiedene Projekte deutscher Arbeitsgruppen zur Erforschung der kardialen Amyloidose. So ist bislang unklar, wie häufig es bei Betroffenen zum plötzlichen Herztod kommt. Am Deutschen Herzzentrum München werden daher zum Beispiel Patienten und Patientinnen mit der häufigsten Amyloidose-Form, der Transthyretin-Amyloidose vom Wildtyp (wtATTR), untersucht. Hierfür werden Risikomarker für den plötzlichen Herztod wie beispielsweise Kammertachykardien und Synkopen erfasst. Ziel ist es, eine verbesserte Risikobewertung der Erkrankten zu erreichen, was künftig auch eine engmaschigere Betreuung und das frühzeitige Einleitung von Schutzmaßnahmen ermöglicht. 

Ein weiteres Forschungsprojekt am Herzzentrum München beschäftigt sich mit der Wirksamkeit von SGLT2-Inhibitoren, die häufig bei Herzschwäche eingesetzt werden. Ihr Effekt soll speziell bei Amyloidose-Kranken mit Herzschwäche anhand Routinedaten großer Krankenkassen in Deutschland und den USA analysiert werden.

Am Universitätsklinikum Freiburg wird wiederum ein Projekt unterstützt, bei dem den Entzündungsprozessen im Herzen nähergekommen werden soll, die bei einer kardialen Amyloidose vom ATTR-Typ (Transthyretin-Amyloidose) vorhanden sind. Dauerhafte Immunreaktionen und niedrigschwellige Entzündungen tragen nämlich wesentlich zum Funktionsschwäche der linken Herzkammer und zu Gewebeveränderungen bei, die letztlich zur Herzschwäche führen.

  • Kristen AV: Kardiale Beteiligung bei Amyloidose. In: Marx N, Erdmann E (Hrsg.): Klinische Kardiologie. Springer-Verlag 2023, 9. Aufl., S. 532-541
  • https://www.swissdnalysis.ch/kardiologie/speichererkrankungen-mit-kardialer-beteiligung/familiaere-amyloidose
  • https://www.klinikum.uni-heidelberg.de/interdisziplinaere-zentren/amyloidose-zentrum/fuer-patienten/gruener-tee-und-amyloidose
  • https://www.gesundheitsforschung-bmbf.de/de/gruner-tee-inhaltsstoff-als-medikament-geeignet-im-kampf-gegen-gefahrliche-eiweiss-3178.php
  • https://www.ukw.de/aktuelle-meldungen/detail/news/mythos-oder-medizin-gruener-tee-bei-amyloidose
  • https://www.nejm.org/doi/full/10.1056/NEJMoa2412309

Experte

Prof. Dr. med. Benjamin Meder
Prof. Dr. med. Benjamin Meder

Zum weiterlesen

Ältere Frau mit Sehschwäche beim Lesen von Informationen auf einer Produktverpackung im Supermarkt
adobe.stock.com
Das Leben mit Amyloidose kann herausfordernd sein, angefangen bei der Ernährung bis hin zum Umgang mit der Erkrankung. Tipps für den Alltag.